[FEMORAL SHAFT STRESS FRACTURE: Vague thigh discomfort]
A Case Report
The femur is the long bone in the upper leg. Stress fractures to the femur account for ~5-7% of all stress fractures diagnosed. The area of the femur most susceptible to stress fractures is the femoral neck or the top part of the femur that connects into the pelvis. However, the femoral shaft, the long bone in the thigh, is also susceptible to stress injury, but often overlooked as a possible cause of pain in endurance athletes.
The challenge in diagnosing femoral shaft stress fractures is that the symptoms often mimic other injuries due to the vague and poorly localized discomfort in an around the thigh or knee. These symptoms are often mistaken for a quadriceps strain or knee pain. However, in endurance runners, quadriceps strains are quite rare.
At the beginning of February a female athlete presented to the office with the following subjective information: Symptoms began ~3.5 weeks earlier.
Location of discomfort:
- Constant and extremely vague discomfort in left left quadriceps, superior medial knee, and hamstring 
- Tightness in the left glute 
Nature of symptoms:
- Significant pain in the left leg when running. The pain progressed throughout each run, which also contributed to an alteration in running mechanics 
Other pertinent subjective information:
- 50 year old female with 2-3 menstrual cycles in last 12 months (peri menopause vs low energy availability (LEA)?) 
- Waking 2-3 times a night with severe night sweats (peri menopause vs LEA?) 
- Sleeping 6-7 hours/night only (poor quality sleep as described above) 
- Ramp-up in speed training over last few weeks 
- History of low vitamin D 
- No previous history of a stress fracture 
- Works a job that requires her to be on her feet all day 
Pertinent objective information:
- NEGATIVE fulcrum test 
- Pain with offloading after single leg squat 
- Unable to perform single leg hops 
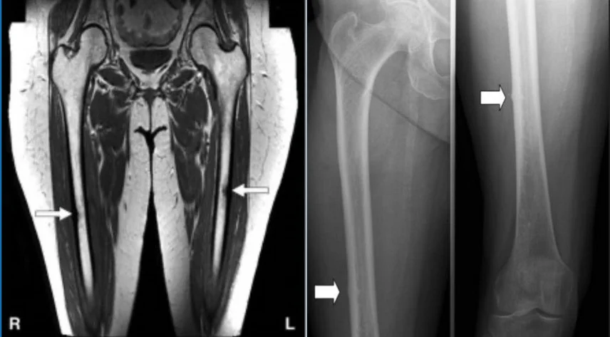
After gathering the above information, the patient was immediately referred to a physician for diagnostic imaging. MRI being the gold standard for diagnosing stress fractures. An MRI confirmed a femoral shaft stress reaction and the patient was also referred for a bone density scan and blood work (vitamin D and Calcium levels specifically).
In my 19 year history of treating endurance runners, I’ve worked with four athletes that were diagnosed femoral shaft stress fractures and they ALL presented differently. However, the two things they all shared in common was a very vague presentation of discomfort in the thigh and quick ramp-up in training intensity and/or volume.
Whether you are an endurance athlete or clinician, if the presentation is vague thigh discomfort PLEASE reach out to a skilled clinician or physician before proceeding with running.
Thankfully this athlete is currently thriving! She’s healthy and back to training with a keen eye to all the factors (sleep, recovery, nutrition, strength + hard impact based jump training, Vitamin D + Calcium supplementation, and careful dosage of run training) that help keep her on track.
Do you have an experience with a femoral shaft stress fracture? I’d love to hear from you. Thanks for your time in reading.
Tenforde, A. S., & Fredericson, M. (2022). Bone stress injuries: Diagnosis, treatment, and prevention. Springer Publishing Company, LLC.
Weishaar, M. D., McMillian, D. J., & Moore, J. H. (2005). Identification and management of 2 femoral shaft stress injuries. Journal of Orthopaedic & Sports Physical Therapy, 35(10), 665–673. https://doi.org/10.2519/jospt.2005.35.10.665


